一、牙齿发育异常
(一)、牙齿发育异常 — 数目异常
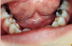
牙齿发育时期受到障碍(遗传、环境、全身、局部)而引起牙齿的数目、形态和组织结构改变,超出了正常范围者称为牙齿发育异常。 数目异常包括:额外牙、缺额牙(先天缺牙)、个别牙缺失或部分牙缺失、无牙症。额外牙的病因不明确,牙源性上皮活性亢进;牙板上皮过度增殖;发育缺陷(颅骨锁骨发育不全、腭裂);遗传、家族性。额外牙 Supernumerary teeth的临床表现:发生率1-3%,乳牙列少见。好发部位:上前牙区(98.3%),最常见上中切牙之间。形态:锥形,,不规则形、与正常牙相似。性别差异:男性多于女性。萌出,或阻生于颌骨内。

解析: 额外牙
额外牙对牙列的影响:恒牙的发育和萌出、牙间隙、牙齿移位、邻牙扭转、邻牙牙根吸收与正常牙融合、恒牙迟萌或阻生 — 含牙囊肿和美观。I其治疗包括:早期发现,适时拔除,及时拔除萌出的多生牙;择期拔除阻生的多生牙,以不影响正常牙发育为原则;埋伏无病变的多生牙,需要定期观察;可替代正常牙的多生牙应予保留。

解析: 缺额牙
缺额牙-个别牙缺失:部分牙缺失的病因尚不明确。牙板生成不足或牙胚增殖受抑制;遗传、家族性。临床表现包括:缺失数目1至数颗;乳恒牙列均可发生,恒牙先天缺失常见,发生率2.3%-9.6%;好发缺失的牙位:下第二双尖牙、上侧切和上第二双尖牙,单侧或双侧;乳牙先天缺失与恒牙缺失有关。其治疗包括:恢复咀嚼 保持良好合关系:缺失少,对牙列、咀嚼、美观影响不大的不治疗。活动义齿修复,每年更换一次。

解析: 先天性无牙畸形 Total Anodontia
先天性无牙畸形的病因:外胚叶发育不全综合症、遗传性疾病。其临床表现:无汗、少汗、毛发稀疏、乳恒牙均可缺失、牙齿稀疏、牙形小、圆锥状。治疗:活动义齿修复。
(二)、牙齿发育异常 — 形态异常

解析: 畸形中央尖 Central cusp defornity
畸形中央尖其病多发于下颌第二前磨牙,左右侧同名牙对称发生,发生率1-5%,女多于男,为常染色体显性遗传。治疗方法:加固法--自行磨损;分次磨除法;充填法;活髓切断;根尖诱导;拔牙。

解析 :融合牙,其病因及发病:牙胚发育受压,遗传,乳牙融合牙并发恒牙先缺达61.74%。

解析: 牙中牙

解析: 弯曲牙
(三)、牙齿发育异常 — 结构异常
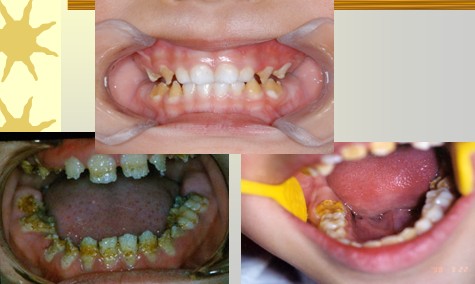
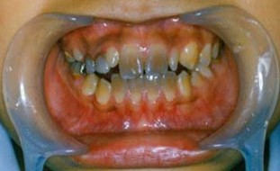
牙齿发育异常 — 结构异常包括:釉质发育不全、牙本质发育不全、忒奈氏牙、氟牙症、四环素染色牙和先天性梅毒牙等。

解析: 釉质发育不全病因
釉质发育不全:轻度:釉质色泽改变,呈暗白、不透明粉笔样的白垩状釉质。重度:牙面上出现带状、窝状的棕色凹陷。可能出现无釉质被覆,切缘变薄,牙尖消失。

解析: 釉质发育不全 Enamel Hypoplasia
牙本质发育不全(dentinogenesis imperfecta)常染色体显性遗传、无性连锁,Ⅰ型:伴有全身骨骼发育不全。Ⅱ型:遗传性乳光牙本质(hereditary opalescent dentin)。Ⅲ型:也称 “ 壳状牙 ” (shell tooth),牙齿呈空壳状发育畸形,主要表现为牙本质发育不全而牙釉质基本正常。Ⅱ型:遗传性乳光牙本质病理:牙本质形成紊乱,牙本质小管排列不规则,牙本质小管管径增大,牙本质小管数目减少、缺如。

解析: 遗传性乳光牙本质
遗传性乳光牙本质的临床表现:全口牙齿颜色:全口牙齿磨损明显:切缘及合面的釉质剥离,牙冠半球状。髓腔:宽大、闭塞。X光所见:髓腔细小或阻塞 ,牙根短而细,根尖可有骨质稀疏区,牙本质薄,牙根发育不足,髓腔根管大,空壳状。遗传性乳光牙本质的治疗:牙列重度磨损 — 合重建,金属冠,树脂修复,牙齿缺失 — 义齿修复。

解析: 忒奈氏牙,病因:个别恒牙的釉质发育不全,乳磨牙根尖周感染,使恒前磨牙釉质形成和矿化障碍。

解析: 四环素染色牙表现
四环素染色牙:四环素类药物:四环素、土霉素、金霉素、强力霉素。四环素染色牙:四环素造成牙齿硬组织的矿化受抑制。病因:四环素与牙齿硬组织形成四环素钙复合物,从而抑制了牙齿硬组织的矿化;四环素抑制造牙本质细胞的胶原合成,颜色与服药剂量和时间有关。乳恒牙最易受影响的时期是胚胎4月至7岁。先天性梅毒牙也是常见的牙齿异常之一,预防:妊娠期母体抗梅毒治疗。牙齿美容修复:树脂冠。
牙齿发育异常-数目异常不包括( )
| A. 四环素牙 | ||
| B. 额外牙 | ||
| C. 缺额牙 | ||
| D. 个别牙缺失 |
正确答案:A
解析:牙齿发育时期受到障碍(遗传、环境、全身、局部)而引起牙齿的数目、形态和组织结构改变,超出了正常范围者称为牙齿发育异常。 数目异常包括:额外牙、缺额牙(先天缺牙)、个别牙缺失或部分牙缺失、无牙症。
|
||

解析: 牙齿萌出过早:乳牙早萌:诞生牙、新生牙

解析: 鉴别:上皮珠 Epithelial pearl (马牙子)
恒牙早萌:牙齿萌出过迟:乳牙迟萌,恒牙迟萌。牙齿异位萌出:第一恒磨牙异位萌出、 恒尖牙异位萌出、低位乳牙(下沉牙)、乳牙滞留。其他:萌出性血肿和萌出性囊肿。
牙齿萌出过早包括:乳牙早萌,诞生牙 Natal teeth和新生牙 Neonatal teeth。

解析: 牙齿萌出过早
牙齿萌出过早的病因不太明了,可能与牙胚距口腔黏膜近、种族有关,其治疗:极松动牙 —— 及早拔除;舌系带创伤性溃疡 —— 调磨锐缘,改变喂养方式。

解析: 牙齿萌出过迟
恒牙早萌病因:乳牙根尖周炎,局部因素:乳牙早失--牙龈组织致密;牙龈纤维瘤病,萌出性囊肿,埋伏多生牙,乳牙萌出过迟:1岁萌出,3岁出齐,个别牙迟萌少见,多数牙迟萌与全身因素有关。恒牙萌出迟缓:个别乳牙根尖周病变,早失或滞留。牙齿迟萌的治疗包括:开窗助萌、摘除牙瘤、额外牙或囊肿,牵引复位。


解析: 牙龈纤维瘤病牙瘤

解析: 牙齿异位萌出
牙齿异位萌出的临床表现包括:第一恒磨牙近中边缘嵴阻生于第二乳磨牙远中牙颈下,X线:第二乳磨牙远中根牙颈部吸收区或非典型性吸收,第一恒磨牙近中边缘嵴嵌入;第二乳磨牙间隙开始缩小。治疗措施包括:早期临床观察,钢丝结扎分离,截冠加金属冠修复,拔除第二乳磨牙,导萌器引导恒牙萌出。

解析: 钢丝结扎分离

解析: 低位乳牙-下沉牙,愈着牙

解析: 乳牙滞留

解析: 萌出性囊肿和萌出性血肿
|
||
乳牙早失的全身原因包括:磷酸酶减少症 Hypophosphatas,组织细胞增多症 Histiocytosis-、家族性纤维发育不良 Familial fibrous dysplasia、肢痛症Acrodynia、周期性中性粒细胞减少症Cyclic neutropenia、Down 综合征、垂体功能亢进 hyperpituitarism和白血病leukemia。乳牙早失-磷酸酯酶减少症:乳前牙早失,前牙区牙槽骨丧失,骨组织矿化不良,实验室检查包括:碱性磷酸酶活性低下、尿磷酸乙醇胺增高
乳牙早失-磷酸酯酶减少症的病因学分型包括:婴幼儿型(Ⅰ型) — 常染色体隐性;青少年型(Ⅱ型) — 常染色体隐性;成人型(Ⅲ型) — 常染色体显性,可表现为乳牙早失, 诊断应包括患儿和同胞们的血清碱性磷酸酶水平。
乳牙早失-磷酸酯酶减少症的病因学分型不包括( )
| A. 婴幼儿型(Ⅰ型)—常染色体隐性 | ||
| B. 青少年型(Ⅱ型)—常染色体隐性 | ||
| C. 成人型(Ⅲ型)—常染色体显性 | ||
| D. 老年型(Ⅳ型)—性染色体隐形 |
正确答案:D
解析:乳牙早失-磷酸酯酶减少症的病因学分型包括:婴幼儿型(Ⅰ型)—常染色体隐性;青少年型(Ⅱ型)—常染色体隐性;成人型(Ⅲ型)—常染色体显性。
|
||
本节课首先介绍了牙齿发育异常,包括数目异常、形态异常和结构异常。接着介绍了牙齿萌出异常的几种典型疾病。最后介绍乳牙早失的各种典型疾病的病因、病机、临床表现和临床治疗。课件通过图文并茂的详细说明,突出预防在牙齿疾病上的优势和意义所在。该课件为牙齿疾病在临床中得到合理规范而有效的治疗起到积极作用。 |
|
